گواردیولا چگونه برترین مربی تاریخ شد؟

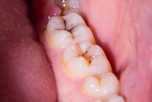
به گزارش جامجمآنلاین، این دو مشکل که با نامهای «پوسیدگی دندان» و «پریودنتیت» شناخته میشوند، از شایعترین مشکلات سلامت در سراسر جهان هستند. دانشمندان مدتها تصور میکردند، ژنتیک در سلامت دهان و دندان نقش دارد، اما به دلیل تاثیر عوامل متعدد مانند سبک زندگی و تغذیه، شواهد قطعی در این زمینه وجود نداشت.
پژوهشگران برای بررسی دقیقتر، دادههای ۹ تحقیق بالینی از نقاط مختلف جهان را تحلیل کردند که اطلاعات ۶۲ هزار نفر را در بر میگرفت. علاوه بر این، از دادههای بانک زیستی بریتانیا (UK Biobank) استفاده شد که شامل پاسخهای بیش از ۴۶۰ هزار نفر درباره سلامت دندانهایشان بود. این مجموعه دادهها، این پژوهش را به بزرگترین پژوهش انجامشده درباره ارتباط ژنها و مشکلات دندانی تبدیل کرد.
دانشمندان با بررسی میلیونها نقطه در ژنوم انسان، ۴۷ ژن جدید را شناسایی کردند که میتوانند خطر پوسیدگی دندان را افزایش دهند. همچنین تایید شد که یکی از ژنهای مرتبط با سیستم ایمنی بدن در بروز بیماریهای لثه نقش دارد.
این ژنها عملکردهای متفاوتی دارند، برخی در شکلگیری دندانها و استخوانهای فک، برخی در تولید بزاق که نقش محافظتی برای دندانها دارد، موثر هستند و برخی دیگر حتی بر نوع باکتریهای ساکن دهان تاثیر میگذارند. در مورد بیماری لثه نیز مشخص شد که سیستم ایمنی بدن نقش کلیدی ایفا میکند.
نتایج این پژوهش نشان میدهد، پوسیدگی دندان با عوامل خطری مانند چاقی و سیگار کشیدن نیز مرتبط است، عواملی که خود با بیماریهای قلبی ارتباط دارند. این موضوع نشان میدهد سلامت دهان و دندان بهطور مستقیم با سلامت کلی بدن گره خورده است.
به بیان ساده، دندانها جدا از بدن نیستند. آنچه در دهان رخ میدهد میتواند بازتابی از وضعیت کلی سلامت باشد و حتی بر آن تاثیر بگذارد.
پژوهشگران با وجود نقش ژنها تاکید کردند: بهترین راه پیشگیری از پوسیدگی دندان و بیماریهای لثه همچنان ساده و مراقبت منظم از دهان و دندان است. مسواک زدن، نخ دندان کشیدن و پرهیز از مصرف زیاد قند، موثرترین راهکارها هستند.
سایت نوریج گزارش کرد، نتایج این پژوهش درک دانشمندان را از تعامل میان ژنتیک و سبک زندگی در سلامت دهان افزایش میدهد و میتواند در آینده به درمانها یا راهکارهای پیشگیرانه هدفمندتر برای افراد پرخطر منجر شود. با این حال، تا آن زمان توصیهها تغییر نمیکند؛ رعایت بهداشت دهان و دندان و داشتن رژیم غذایی سالم، بهترین راه حفظ لبخند و سلامت عمومی بدن است.
این پژوهش به سرپرستی «اینگهگرد یوهانسون» انجام و نتایج آن در نشریه «ارتباطات طبیعت» (Nature Communications) منتشر شده است.
گواردیولا چگونه برترین مربی تاریخ شد؟
خرید و فروش غیرقانونی انواع حیوانات و پرندگان کمیاب ادامه دارد
در گفتوگوی جام جم آنلاین با حجتالاسلام دکتر قاسم خانجانی بررسی شد