
به گزارش جام جم آنلاین ، پزشکانی که CT اسکن کودکان کرونایی را بررسی کرده اند هشدار می دهند که این کودکان با آسیب های جدی ریوی مواجه می شوند.
این تیم از بیمارستان کودکان بوستون ، سی تی اسکن از موارد کودکان مبتلا به COVID-19 را برای دیدن نتایج و وضعیت ظاهری ریه ارزیابی کردند.
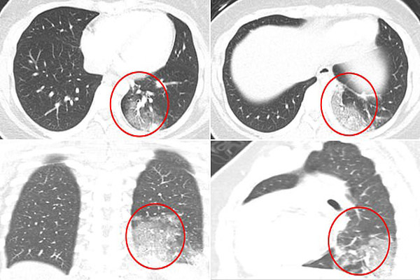
در یک مطالعه از 20 کودک تقریبا دو سوم آنها مبتلا به التهاب ریه ای شده بودند.
بخش دیگری از کودکان با مشکلات تنفسی شدید روبرو می شوند و کیسه های هوای موجود در ریه آنها مملو از مایعات می شود که بسیار خطرناک است.
به نظر می رسد كودكان به طور كلی كمتر از بزرگسالان تحت تأثیر ویروس کرونا قرار دارند اما در صورت داشتن شرایط اساسی آسیب پذیرتر هستند.
در تصاویر سی تی اسکن ریه کودکان مشخص است که ریه آنها تحت تاثیر ویروس کرونا کدرتر شده است.

در یادداشتی اختصاصی برای جام جم آنلاین مطرح شد
در یادداشتی اختصاصی برای جام جم آنلاین مطرح شد
عضو دفتر حفظ و نشر آثار رهبر انقلاب در گفتگو با جام جم آنلاین مطرح کرد
تینا چهارسوقی امین در گفتوگو با جام جم آنلاین:
سهراب بختیاریزاده در گفتوگو با جامجم:
سفیر کشورمان در روسیه در گفتوگو با روزنامه «جامجم» اهمیت سفر وزیر خارجه را تشریح کرد