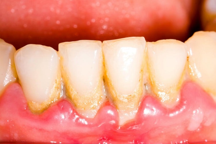
تارتار (Tartar) که به عنوان جرم دندانی (dental calculus) نیز شناخته میشود، پلاک (plaque ) سختشدهای است که بر روی دندانها ایجاد شده و باعث ایجاد انواع مشکلات سلامت دهان و دندان میشود. این پلاکها باید از طریق جرمگیری از بین برود.
جرم گیری دندان تکنیکی برای تمیز کردن عمیق فضای زیر لثهها و دندانها است و اغلب از آن برای پیشگیری یا درمان بیماری مزمن پریودنتال (بیماری لثه) استفاده میشود. بهتر است بدانید که جرم گیری دندان درد ندارد و رسوبات انباشتهشده روی دندان را میتوان با این روش به طور کامل از بین برد.
بزاق و همچنین میکروبهای موجود در دهان از عوامل ایجاد پلاک دندانی هستند. مصرف بیشازحد سیگار و الکل، قهوه، چای و نوشیدنیهای رنگی نیز ممکن است تشکیل پلاک روی دندانها را تشدید کند.
این روش شامل استفاده از یک ابزار ویژه برای خراشدادن و جداکردن دستی تارتار از روی دندان است.
در این روش از یک دستگاه فلزی ارتعاشی و آب برای شکستن و از بینبردن جرم دندان استفاده میشود. جرم گیری اولتراسونیک شامل استفاده از دستگاهی است که ارتعاشات با فرکانس بالا را برای شکستن و از بینبردن جرم دندان از خود ساطع میکند.
این جرمگیری همچنین، آب را برای شستن قطعات باقیمانده اسپری میکند. جرم گیری اولتراسونیک اغلب سریعتر و کارآمدتر از جرمگیری دستی است و ممکن است باعث ناراحتی کمتری برای بیمار شود.
برخی از دندانپزشکان از لیزر برای از بینبردن جرم و پلاک دندان و لثه استفاده میکنند. جرمگیری لیزری از لیزر برای از بینبردن جرم دندان استفاده میکند. انرژی لیزر به سمت تارتار هدایت میشود، آن را تجزیه و تبخیر میکند. این روش بسیار کارآمد است و ممکن است در مقایسه با روشهای جرمگیری سنتی منجر به خونریزی و تورم کمتری شود.

جرمگیری دندان معمولاً شامل مراحل زیر است:
قبل از شروع فرآیند جرمگیری، دندانپزشک دندانها و لثهها را معاینه میکند تا میزان تجمع تارتار را ارزیابی کرده و برنامه درمانی مناسب را تعیین کند.
در برخی موارد، ممکن است از بیحسی موضعی برای بیحسکردن لثه ها و دندانها استفاده شود تا ناراحتی فرد در طی فرآیند جرمگیری به حداقل برسد. بیحسی معمولا برای کودکان بیشتر استفاده میشود؛ با این حال، ممکن است برای بزرگسالان نیز کاربرد داشته باشد.
دندانپزشک یا متخصص بهداشت دندان از ابزار خاصی به نام جرمگیر برای برداشتن دستی تارتار از روی دندانها استفاده میکند. این فرآیند شامل خراشدادن دقیق جرم از سطوح دندان، از جمله زیر خط لثه است.
در برخی موارد ممکن است پلانینگ ریشه همراه با جرمگیری انجام شود. این فرآیند شامل صافکردن ریشههای دندانها برای از بینبردن نواحی ناهمواری است که باکتریها و تارتار در آن تجمع پیدا میکنند.
پس از برداشتن تارتار، دندانها با استفاده از یک خمیر دندان ساینده و یک مسواک پرقدرت پولیش میشوند. این کار به حذف هرگونه پلاک باقیمانده و صافکردن سطوح دندان کمک میکند.
در برخی موارد ممکن است پس از جرمگیری از فلورایدتراپی برای کمک به تقویت و محافظت از مینای دندان استفاده شود.
بهطور کلی، جرمگیری دندان بخش مهمی از مراقبت سلامت دهان و دندان محسوب شده و میتواند به پیشگیری از بیماریهای لثه، پوسیدگی و دیگر مسائل مربوط به سلامت دهان و دندان کمک کند.

جرم گیری دندان مزایای بسیار زیادی راد که به طور خلاصه به موارد زیر اشاره میکنیم:
تارتار یا جرم میتواند منجر به بیماری لثه، پوسیدگی و سایر مشکلات دهان شود. جرمگیری دندان به پیشگیری از این مسائل و بهبود سلامت کلی دهان کمک میکند.
جرم میتواند سبب بوی بد دهان شود؛ بنابراین، حذف آن به بهبود طراوت نفس شما کمک میکند.
جرم باعث تغییر رنگ و زرد یا لکهدارشدن دندانها میشود. جرمگیری ظاهر دندانها را بهبود میبخشد. هرچه جرم جمعشده روی دندانها بیشتر باشد، جرمگیری دندان تاثیر بیشتری بر بهبود ظاهر فرد خواهد داشت.
جرمگیری منظم دندان میتواند به جلوگیری از تجمع پلاک و جرم در آینده کمک کند و خطر مشکلات جدیتر سلامت دهان را کاهش دهد.
حساسیت: دندانهای برخی از افراد ممکن است پس از جرمگیری دندان حساس شود؛ به خصوص اگر جرم قابل توجه باشد.
ناراحتی: برخی از افراد ممکن است در طول فرآیند جرمگیری دندان احساس ناراحتی یا درد کنند؛ به خصوص اگر تجمع جرم زیاد باشد.
شبکه دندانپزشکی میخک (https://mikhakdental.com/) با استفاده از بهترین دندانپزشکان، بالاترین کیفیت را در جرمگیری دندان برای مراجعین ارائه میکند.
سخن آخر:
در این مطلب درمورد جرم گیری دندان و نحوه انجام آن و همچنین روشها و مزایا و معایب جرمگیری دندان صحبت کردیم. فراموش نکنید که جرم گیری دندان، یکی از بهترین راههای مراقبت از سلامت دهان و دندان است و همچنین این فرآیند حتما باید توسط دندانپزشک انجام شود.
در یادداشتی اختصاصی برای جام جم آنلاین مطرح شد
در یادداشتی اختصاصی برای جام جم آنلاین مطرح شد
عضو دفتر حفظ و نشر آثار رهبر انقلاب در گفتگو با جام جم آنلاین مطرح کرد
حجتالاسلام سعید داوودی میگوید عفاف بدون حجاب ناقص است و حجاب بدون رعایت عفاف، بیمعنا
«جامجم» در گفتوگو با رئیس مرکز مطالعات منطقهای پاسداری از میراث فرهنگی ناملموس آسیای غربی و مرکزی یونسکو بررسی کرد