ادم ریوی میتواند ناشی از مشکلات قلبی، عفونتها، و یا عوامل دیگر باشد و منجر به مشکلات تنفسی، درد و ناتوانی در انجام فعالیتهای روزانه شود. اهمیت این موضوع به دلیل بالا بودن شیوع آن در میان افراد مسن و عوارضی که میتواند ایجاد کند، بسیار بالاست. تشخیص به موقع و درمان مناسب میتواند از تشدید علائم جلوگیری کرده و کیفیت زندگی سالمندان را بهبود بخشد.
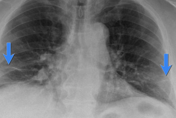
آب آوردن ریه در سالمندان، یا ادم ریوی، به تجمع غیرطبیعی مایعات در ریهها گفته میشود که موجب اختلال در تبادل اکسیژن میشود و در نتیجه باعث مشکلات تنفسی جدی میگردد. این وضعیت اغلب در افرادی رخ میدهد که مشکلات قلبی یا کلیوی دارند، اما میتواند به دلایل دیگری نیز ایجاد شود. در سالمندان، به دلیل ضعیفتر بودن سیستمهای بدنی و مستعد بودن به عوارض ناشی از بیماریها، احتمال بروز این مشکل بیشتر است. این مشکل، اگر به موقع تشخیص داده نشود، میتواند به مشکلات جدیتر مانند نارسایی تنفسی و حتی مرگ منجر شود. درمانهای فوری و مراقبتهای پزشکی برای مدیریت این شرایط ضروری هستند.

درمان آب آوردن ریه در سالمندان نیازمند رویکردی فوری و جامع است، زیرا این وضعیت میتواند به سرعت زندگی فرد را تحت تأثیر قرار دهد. سالمندانی که تحت مراقبت پرستار سالمند در منزل تهران قرار دارند، میتوانند از پشتیبانی و راهنماییهای لازم برای حفظ سلامت خود بهرهمند شوند. زیرا پرستاران با تجربه و حرفه ای می توانند بهتر از سالمندان مراقبت و نگهداری کنند و این امر باعث می شود که بهبودی را زودتر تجربه کنند.
درمان ادم ریوی در سالمندان معمولاً نیازمند بستری فوری و تجویز اکسیژن است. اکسیژن درمانی به کمک ماسک یا دستگاه CPAP (فشار مثبت پیوسته) انجام میشود تا میزان اکسیژن در خون افزایش یابد. داروهایی مانند ادرارآورها نیز به دفع مایعات اضافی کمک میکنند. این داروها فشار مایعات در ریهها و قلب را کاهش میدهند و تنفس را برای سالمند آسانتر میسازند.
در مواردی که مشکلات قلبی عامل ادم ریوی است، پزشکان ممکن است داروهایی برای کاهش فشار خون و تقویت قلب تجویز کنند. این داروها شامل کاهندههای پیشبار (Preload) و پسبار (Afterload) میشوند که به کاهش فشار وارد بر قلب و ریهها کمک میکنند. همچنین، در برخی موارد شدید، لولهگذاری و استفاده از ماسک فشار مثبت برای کنترل بهتر تنفس سالمند ضروری است.
درمان خانگی آب آوردن ریه در سالمندان میتواند به مدیریت علائم و بهبود کیفیت زندگی آنها کمک کند، اما باید تحت نظارت پزشک انجام شود.
برای کمک به مدیریت ادم ریوی، رعایت یک رژیم غذایی کمنمک بسیار اهمیت دارد. مصرف میوهها و سبزیجات تازه، پروتئینهای کمچرب و منابع ویتامین دی میتواند به بهبود شرایط کمک کند. کاهش میزان نمک مصرفی و استفاده از جایگزینهایی مانند سیر و لیمو، به کاهش تجمع مایعات اضافی در بدن سالمندان کمک میکند.
ترک سیگار، اجتناب از محیطهای آلوده و جلوگیری از قرار گرفتن در معرض شرایط جوی نامناسب از دیگر اقداماتی است که سالمندان میتوانند برای کنترل بهتر بیماری انجام دهند. اگر سالمند به ارتفاعات بالا حساسیت دارد، سفر به این مناطق باید محدود شود. این اقدامات به کاهش فشار بر ریهها کمک میکنند و بهبود قابلتوجهی در تنفس سالمند ایجاد میکنند.

آب آوردن ریه در افراد مسن میتواند ناشی از چندین عامل پزشکی باشد که به طور مستقیم بر سلامت سالمند تأثیر میگذارند. در ادامه بیشتر در این خصوص توضیح میدهیم:
یکی از شایعترین دلایل آب آوردن ریه در سالمندان، نارسایی قلبی است. نارسایی قلبی زمانی رخ میدهد که قلب قادر به پمپاژ خون کافی به بدن نیست. این مشکل باعث میشود فشار در رگهای خونی ریه افزایش یابد و در نهایت مایعات به ریهها نشت کنند. این وضعیت معمولاً در افراد مسنی که دچار نارسایی قلبی مزمن هستند مشاهده میشود. علاوه بر نارسایی قلبی، مشکلاتی مانند دریچههای آسیب دیده یا تنگشده قلب نیز میتواند باعث نشت مایعات به ریهها شود.
سایر دلایل شامل بیماریهای ریوی مانند ذاتالریه و یا مشکلات کلیوی است. در این موارد، ریهها به دلیل عفونت یا نارسایی کلیه مایع اضافی را نگه میدارند و این مایع به داخل ریهها نشت میکند. افزایش فشار خون نیز میتواند به طور ناگهانی باعث ادم ریوی شود. در برخی از سالمندان، عفونتهای شدید یا مشکلات کلیوی منجر به تورم و تجمع مایعات در بدن و در نهایت در ریهها میشود. این وضعیت نیاز به پیگیری و درمان دقیق دارد تا از بروز عوارض جدیتر جلوگیری شود.
از کجا بفهمیم ریه آب آورده است؟ در ادامه علائمی در این خصوص را شرح میدهیم:
یکی از مهمترین علائم ادم ریوی در سالمندان، تنگی نفس است. این مشکل به ویژه هنگام دراز کشیدن بیشتر میشود و ممکن است باعث بیدار شدن شبانه سالمند به دلیل احساس خفگی و نیاز به نشستن شود. در برخی موارد، سالمندان ممکن است دچار خسخس یا سرفههای خشک و شدید شوند. این علائم نشاندهنده تلاش بدن برای به دست آوردن اکسیژن بیشتر و از بین بردن مایعات اضافی در ریههاست.
تورم در پاها و افزایش سریع وزن نیز از علائم دیگر ادم ریوی است. این تورم به دلیل تجمع مایعات در بدن ایجاد میشود و ممکن است به تدریج گسترش یابد. همچنین، سالمندان ممکن است خستگی شدیدی را تجربه کنند که ناشی از ناتوانی ریهها در تبادل اکسیژن و حذف مایعات اضافی است.

پیشگیری از آب آوردن ریه در سالمندان به مراقبتهای دقیق پزشکی و تغییرات سبک زندگی نیاز دارد. ابتدا، افراد باید به طور منظم با پزشک خود مشورت کرده و چکاپهای منظم انجام دهند تا هرگونه مشکلات قلبی یا ریوی در مراحل اولیه شناسایی شود. در ادامه بیشتر در این خصوص میگوییم.
برای پیشگیری از ادم ریوی، ویزیتهای منظم و پیگیری شرایط قلبی و ریوی سالمند ضروری است. واکسیناسیون منظم علیه پنومونی و آنفلونزا نیز میتواند از بروز عفونتهای ریوی که منجر به ادم میشوند، جلوگیری کند.
تغییرات در سبک زندگی نیز نقش مهمی در پیشگیری از آب آوردن ریه دارند. سیگار نکشیدن، انجام ورزش منظم، حفظ وزن سالم و مصرف غذاهای کمنمک از جمله اقداماتی هستند که میتوانند خطر ابتلا به مشکلات قلبی و در نتیجه ادم ریوی را کاهش دهند.
آب آوردن ریه در سالمندان میتواند به یک مشکل جدی تبدیل شود، اما با تشخیص به موقع و درمان مناسب میتوان عوارض آن را کاهش داد و از پیشرفت بیماری جلوگیری کرد. سفیر آرامش به عنوان یک موسسه معتبر در ارائه خدمات پرستاری، میتواند به سالمندان در تهران کمک کند تا در محیط منزل با آسایش و مراقبت مناسب، شرایط سلامتی خود را بهبود بخشند. با استفاده از خدمات پرستاری حرفهای، سالمندان میتوانند از مراقبتهای پزشکی و پیشگیرانه لازم برخوردار شوند و کیفیت زندگی خود را بهبود بخشند.
 		 	
    
    
    
    
    در یادداشتی اختصاصی برای جام جم آنلاین مطرح شد
    
    در یادداشتی اختصاصی برای جام جم آنلاین مطرح شد
    
    عضو دفتر حفظ و نشر آثار رهبر انقلاب در گفتگو با جام جم آنلاین مطرح کرد
    
    گفت و گو با بهزاد داداش زاده بازیکن سابق پرسپولیس و تیم ملی
مدیرعامل «بنیاد ملی پویانمایی» معتقد است فرهنگ «تولید مشترک» و توزیع مسئولیتها تنها راه توسعه بینالمللی است
فریدون جنیدی معتقد است: یادگار فردوسی اثری عمیق است که نباید به شکل سطحی به آن نگاه کرد