ما در این مقاله قصد داریم به صورت جامع و با بیانی ساده به این سؤالها پاسخ داده دهیم. مطالعه این مطلب به شما کمک میکند تا درک بهتر و دقیقتری از مفهوم واحد لمینت، کاربردها، هزینهها و تعداد دندانهای لازم برای داشتن جذاب و دلنشین به دست آورید. برای کسب اطلاعات بیشتر در این باره تا پایان مطلب همراه ما باشید.
در حرفه دندانپزشکی زیبایی، به هر یک دندانی که تحت درمان لمینت قرار میگیرد، یک واحد لمینت گفته میشود. اگر قصد لمینت دندان در غرب تهران را دارید باید بدانید که به عنوان مثال، هنگامی که دندانپزشک عبارتهایی مانند "قیمت هر واحد لمینت" یا "لمینت 8 واحد" مطرح میکند، منظور میزان هزینهای است که برای یک دندان یا تعداد دندانهایی که تحت درمان لمینت قرار گرفتهاند.
دندانپزشک به کمک این واحدبندی میتواند برنامهریزی دقیقتری برای فرایند درمان انجام دهد تا بیمار درباره میزان هزینهای که باید بپردازد، آگاهی کامل داشته باشد. همچنین، برای بیان جزئیات درمان به شکل استاندارد، از این واحدها استفاده میشود.
همانطور که در ابتدا به آن اشاره شد، سوال اصلی که هر واحد لمینت دندان چند دندان است مطرح شد، البته به صورت تخصصی تر مواردی ذکر شده که در مقاله دیگری به آن اشاره شده و در اینجا فرصت نمیشود اما هر واحد معادل یک دندان در نظر گرفته میشود. هنگامی که دندانپزشک به شما میگوید به لمینت 8 واحدی نیاز دارید، به این معناست که 8 عدد از دندانهای شما نیاز به لمینت داشته و میبایست تحت درمان قرار بگیرند.
چند مثال از واحد لمینت:
اینکه چه تعداد از دندانهای شما نیازمند لمینت هستند، به عوامل مختلفی مانند میزان لبخند (Smile Line)، شرایط ظاهری دندانهای فرد، پیشنهاد دندانپزشک و اهداف درمانی بیمار وابسته است. دندانپزشکان در بسیاری از موارد برای زیباسازی لبخند، فرایند لمینت را تنها روی دندانهای جلویی فک بالا یا بالا و پایین بیمار انجام میدهند.
به طور کلی:

عوامل مؤثر در تعیین تعداد واحد لمینت:
هزینه هر واحد لمینت دندان تحت تاثیر عوامل مختلف، متغیر است. برخی از رایجترین عوامل تاثیرگذار بر قیمت لمینت عبارتاند از:
محدود قیمتها در سال ۱۴۰4، بهصورت زیر میباشد:
برای مثال در صورتی که شما بخواهید 8 واحد لمینت سرامیکی روی دندانهای خود نصب کنید، انجام دهید، هزینهای که میبایست پرداخت کنید، چیزی حدود ۲۸ تا ۵۶ میلیون تومان است.
نکته: در برخی کلینیکها، لمینت کامل شامل بستههای ویژه همراه با تخفیفهای مناسب میشود.
برای داشتن "طرح لبخند" ایدهآل، معمولا تعداد واحدهایی که مورد نیاز است، که به لمینت دندان طرح لبخند معروف است و به عواملی مانند لبخند فرد و دندانهایی که در حالت صحبت و لبخند دیده میشوند، وابسته است.
در اکثر موارد:
نکته: همیشه نصب لمینت روی همه دندانها الزامی نیست. به طور کلی برای داشتن یک لبخند زیبا تنها لمینت دندانهایی که در ناحیه لبخند دیده میشوند، لازم است.

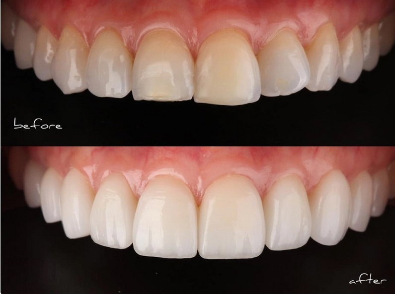
لمینت دندان یکی ازروشهای محبوب دندانپزشکی بوده که کاربردهای متعددی به خود اختصاص داده است. برخی از رایجترین کاربردهای این روش عبارتاند از:
لمینت یک روش تاثیرگذار است که منجر به بهبود قابل توجه در زیبایی لبخند فرد میشود. این مسئله موجب شده تا لمینت به یکی از پرطرفدارترین درمانهای زیبایی دنیای دندانپزشکی، تبدیل شود.
خیر. لمینت یک روش درمان زیبایی و انتخابی بوده و انجام آن برای همه دندانها الزامی نیست. در این روش فقط دندانهایی که در زیبایی لبخند تاثیرگذار بوده و معمولا دچار مشکلاتی مانند فرم نامناسب، لبپریدگی یا بدرنگی، هستند، گزینههای انتخابی مناسب برای انجام لمینت میباشند.
در اکثر مواقع دندانهای پشتی و دندانهای آسیاب به لمینت نیاز ندارند، مگر در شرایط خاص (مثلا دلایل ترمیمی خاص یا استفاده از طرح لبخند کامل).
لمینت یک روش درمانی نیمهدائمی برای دندانها میباشد. با وجود اینکه طول عمر لمینت بالا بوده، اما برای ماندگاری آن به مراقبت و نگهداری نیاز است.
طول عمر متوسط:
برخی از مواردی که منجر به افزایش طول عمر لمینت میشود، عبارتاند از:
لمینتها در صورت آسیب دیدن یا ترک خوردن، قابل ترمیم یا تعویض هستند. با این وجود برگشت به حالت اولیه پس از تراش مینای دندان، ممکن نیست و به ترمیم یا جایگزینی دائمی نیاز است.
هر واحد دندان به عنوان یک معیار استاندارد در دندانپزشکی برای محاسبه هزینهها و تعیین تعداد دندانهایی که نیاز به درمان دارند، استفاده میشود. این اصطلاح به طور خاص برای توصیف هر دندان در دهان به کار میرود و در روشهای مختلفی مانند کامپوزیت، لمینت و ایمپلنت کاربرد دارد. به عنوان مثال، هر واحد کامپوزیت یا لمینت معمولاً به یک دندان اختصاص دارد، به این معنی که برای درمان چند دندان، به تعداد واحدهای بیشتری نیاز است. دندانپزشکان با معاینه دندانها، تعداد واحدهای لازم را تعیین کرده و هزینه نهایی درمان را محاسبه میکنند. در نتیجه، درک مفهوم هر واحد دندان برای بیماران و دندانپزشکان اهمیت زیادی دارد.
1. هر واحد دندان به چه معناست؟
هر واحد دندان به یک دندان خاص در دهان اشاره دارد و به عنوان واحد شمارش دندانها در دندانپزشکی استفاده میشود.
2. آیا هر واحد لمینت برای یک دندان است؟
بله، هر واحد لمینت معمولاً برای یک دندان اعمال میشود. به این معنا که اگر شما به ۸ واحد لمینت نیاز داشته باشید، در واقع 8 دندان شما لمینت خواهد شد.
3. آیا واحد کامپوزیت هم به یک دندان اشاره دارد؟
بله، هر واحد کامپوزیت نیز به معنای ترمیم یا روکش یک دندان است. بنابراین، تعداد واحدهای کامپوزیت بستگی به تعداد دندانهایی دارد که نیاز به ترمیم دارند.
4. چه تعداد واحد دندان در یک فک وجود دارد؟
در هر فک، معمولاً 14 دندان وجود دارد که شامل دندانهای پیشین و دندانهای آسیاب میشود. بنابراین، مجموع دندانهای یک انسان بالغ 28 تا 32 دندان است.
5. آیا تعداد واحدهای دندان در ایمپلنت متفاوت است؟
بله، تعداد واحدهای ایمپلنت بستگی به تعداد دندانهای از دست رفته دارد. به عنوان مثال، برای هر دندان از دست رفته، یک واحد ایمپلنت نیاز است.
6. چگونه میتوانم تعداد واحدهای دندان خود را محاسبه کنم؟
برای محاسبه تعداد واحدهای دندان، میتوانید به دندانپزشک مراجعه کنید. او با معاینه دهان و دندانها، تعداد دندانهای موجود و نیازهای درمانی شما را تعیین خواهد کرد.
در یادداشتی اختصاصی برای جام جم آنلاین مطرح شد
در یادداشتی اختصاصی برای جام جم آنلاین مطرح شد
عضو دفتر حفظ و نشر آثار رهبر انقلاب در گفتگو با جام جم آنلاین مطرح کرد
تهیهکننده و کارگردان مستند رئالیتی «کارخنده» درباره چالشهای تولید این برنامه و تغییرات در فصل چهارم آن توضیح میدهد
فیلمساز بوشهری معتقد است سینمای ماندگار، بازتابی از ملاقات انسان با خویشتنِ خویش و سیر درونی اوست.