
به گزارش جام جم آنلاین، از دست دادن حس بویایی یکی از علائم ویروس کرونا شناخته می شود که البته بسیاری از پزشکان، محققان و دانشمندان می گویند این عارضه چندان ارتباطی به خود ویروس کرونا ندارد هر چند شواهد حاکی از چیز دیگری است.
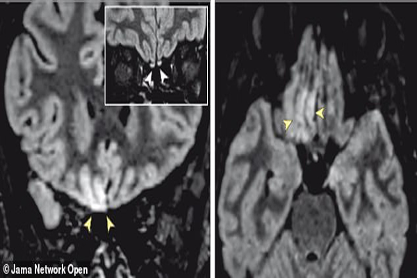
اخیرا اسکن های متعدد از مغز یک فرد مبتلا به کرونا نتایج جالب توجهی را نشان داده است. این فرد یک دختر 25 ساله ایتالیایی است که در مرکز رادیوگرافی واقع در رم زندگی می کند. او در روزهای نخست ابتدا فقط سرفه می کرد اما به تدریج حس بویایی خود را هم از دست داد. MRI از مغز این فرد نشان داد قسمت هایی که در مغز مربوط به حس بویایی می شوند بیشتر سفید شده اند.
این سفید شدن در پی به علت حملات التهابی ویروس کرونا به وجود آمده است.
در تصویر زیر قسمت های بویایی که در پی التهاب کرونایی سفید شده اند در عکس مشخص است:

در یادداشتی اختصاصی برای جام جم آنلاین مطرح شد
در یادداشتی اختصاصی برای جام جم آنلاین مطرح شد
عضو دفتر حفظ و نشر آثار رهبر انقلاب در گفتگو با جام جم آنلاین مطرح کرد
تهیهکننده و کارگردان مستند رئالیتی «کارخنده» درباره چالشهای تولید این برنامه و تغییرات در فصل چهارم آن توضیح میدهد
فیلمساز بوشهری معتقد است سینمای ماندگار، بازتابی از ملاقات انسان با خویشتنِ خویش و سیر درونی اوست.